- HOME
- 審美歯科・ホワイトニング
審美歯科・ホワイトニング
審美歯科とは
審美歯科とは、従来の歯科がむし歯や歯周病などの病気を治す事が目的としているのに対して、美しさと健康の両方を目的としています。美しい歯や歯肉が、美しい笑顔を生み出します。
そうすることで、みなさんの人生をより豊に出来ればと考えております。
審美歯科は主に下記の4点に集約されます。
- 歯を白くしたい
- 歯並びをキレイにしたい
- 歯肉を美しくみせたい
- 歯の欠損部分を自然な形で補いたい
スマイルチェック
鏡を持ってあなたの笑顔を、分析してみましょう。
“はい”の答えが多い方ほど、歯は美しく見えるはずです。あなたは、いくつ“はい”と答えられるでしょうか?
- 口を少し開けた微笑で、前歯の先が少し(3mmくらい)見えていますか?
- 上の前歯2本の中心は、唇の中心、お顔の中心とだいたい一致していますか?
- 歯並びが凸凹していませんか?
- 歯は、ほぼ左右対称で真っ直ぐに生えていますか?
- 笑った時に、上の歯のインサイザルラインは、下唇のリップラインに沿って調和がとれていますか?
- 歯と歯の間に、目立つ隙間がありませんか?
- 上の歯の先は、下の歯の先を少し被っていますか?
- 歯の色は、艶やかで白いですか?
- 歯に茶や黒に変色したところがありませんか?
- 歯の先が、削れていませんか?
- 歯の根元が、削れて凹んでいませんか?
- まわりの歯と色が合わない詰め物や差し歯が、入っていませんか?
- 笑った時に、歯ぐきが見えすぎていませんか?
- 歯肉ライン(ジンジバルライン)は、美しく調和がとれていますか?
- 歯ぐきが赤く腫れていたり、黒ずんだりしていませんか?
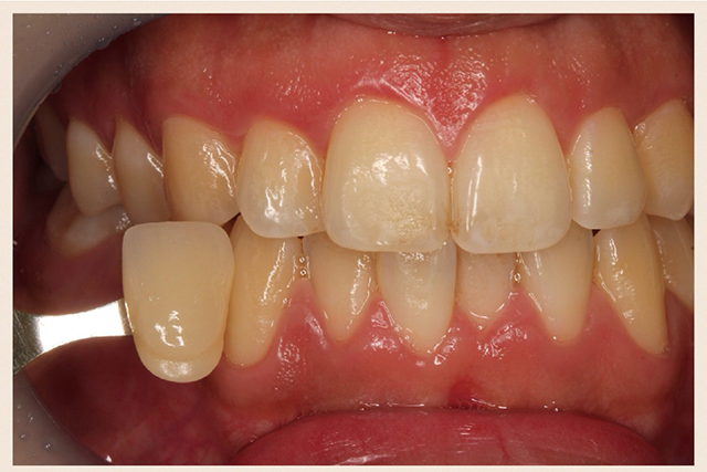
歯を白くしたい方
1.ホワイトニング(漂白)
Before
After
生活の中でコーヒーや紅茶、赤ワイン、タバコを摂取し、それらの色素が歯の表面から内部にまで沈着している場合に有効です。歯の内部まで沈着しているので、通常の歯みがきやクリーニングではその色が落とせません。
歯を削ることなく白くする方法として、歯の表面にワイトニング剤を塗布し、歯の黄ばみ色素を分解して歯を白くしていきます。天然の歯を白くしていくため、自然な色の仕上がりになり、笑顔の魅力度が格段にアップします。
こんな方にオススメです
- 20代から加齢に伴う始まる黄ばみが気になる方
- 遺伝により、歯の黄ばみや変色が気になる方
- 生活習慣(コーヒー、紅茶、赤ワイン、煙草など)で黄ばみが気になる方
- 歯に負担をかけることなく、白い歯を手に入れたい方
- 自分の笑顔をより美しくしたい方
- 挙式を控えている方
2.ラミネートベニア
歯の表面を削り、その上に薄いセラミックスを付ける手法です。歯に負担がかかりますが、歯の形を変えることもできます。数回の通院で仕上がります。
3.PMTC
PMTCとは歯磨きでは取り切れない歯垢などを歯科衛生士が綺麗にし、虫歯や歯周病を予防する方法です。 PMTC( Professional Mechanical Tooth Cleaning)専門家による機械的な歯面清掃のことです。
歯並びをキレイにしたい方
1.歯列矯正
いわゆる矯正です。子供時代と大人時代によりことなりますので、詳しくは矯正歯科ページをご覧下さい
2.ラミネートベニア・セラミッククラウン
ラミネートベニアとは、歯の表面を薄く削り、表面にセラミックスを被せるものです。歯の形や並びを変えるだけでなく、色味も変えることが出来るのが特徴です。セラミッククラウンは、セラミックの冠を被せるものです。
いずれも数回の通院で完了しますので、お手軽だと言えます。
歯肉を美しくみせたい
メラニン色素除去
Before
After
歯肉の黒ずみは、メラニン色素が原因のことが多いです。その場合にはCO2レーザーを使用し黒ずみを除去していきます。10分を3回(3日間に分けて実施)行えば、ほとんどの黒ずみはなくなります。
歯を部分修正したい方/補綴(ほてつ)
補綴(ほてつ)とは、歯の欠けてしまった部分や、失ってしまった部分を修復する治療方法の事です。冠(クラウン)、インレー、差し歯などの人工物で補い、「うまく噛めない」「しゃべれない」「見た目が悪い」といった問題を解決する事ができます。
1.インレー
ムシ歯や歯周病などで削ってしまった部分を埋める処置です。
2.冠(クラウン)
歯がかけてしまった場合に歯根に被せる、歯冠補綴物です。単冠とも呼ばていて、一般には歯のかぶせものとして知られています。
ほうれい線が気になる方
最新美容機器Elastic-G1を使用したヒアルロン酸注入が可能です。注射針を一切使用しない最新技術でほうれい線などのお肌の悩みも改善できます。このElastic-G1は産学連携で開発された純国産の複合美容機器で、美容外科美容皮膚科など医療機器として広く普及しているエレクトロポレーション技術を備えた最新美容機器です。歯医者は口腔周りのプロです。安心安全にお肌の改善が見込めます。










